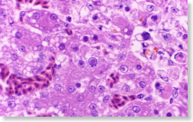
アデノウィルス感染症の肝臓組織
06 アデノウィルス感染症の肝臓組織